Kiểm soát thói quen thở bằng miệng ở trẻ em: Từ cơ chế bệnh lý đến giải pháp can thiệp chức năng với MyoSimple
- Người viết: Biotech Dental Vietnam lúc
- Kiến thức y khoa
- - 0 Bình luận
1. Thở bằng miệng ở trẻ em – vấn đề phổ biến nhưng dễ bị bỏ qua
1.1 Tổng quan về kiểu thở bằng miệng ở trẻ em
Trong sinh lý hô hấp bình thường, mũi đóng vai trò lọc sạch, làm ấm và làm ẩm không khí, đồng thời điều tiết lưu lượng oxy thông qua sản sinh Nitric Oxide (NO) tại xoang mũi. Thở bằng miệng thực chất là một cơ chế thích nghi bù trừ khi đường thở mũi bị cản trở hoặc do thói quen chức năng kéo dài.
Tuy nhiên, trong thực tế, không ít trẻ em duy trì kiểu thở bằng miệng khi ngủ và sinh hoạt hằng ngày. Đây không chỉ là vấn đề hô hấp mà là sự mất cân bằng động giữa hệ thống cơ môi - má và lưỡi, tác động trực tiếp lên quá trình tăng trưởng sọ mặt và sự phát triển chung của trẻ.
1.2 Nguyên nhân thường gặp
Trong lâm sàng, thở bằng miệng ở trẻ em thường bắt nguồn từ hai nhóm nguyên nhân chính: tắc nghẽn đường thở và rối loạn chức năng cơ miệng.
Ở nhóm nguyên nhân tắc nghẽn, VA và amidan quá phát là yếu tố phổ biến nhất. Khi mô lympho vùng mũi–hầu phì đại, đường thở sinh lý bị thu hẹp, khiến trẻ buộc phải mở miệng để đảm bảo thông khí, đặc biệt khi ngủ. Tình trạng tương tự cũng xảy ra ở trẻ bị viêm mũi/nghẹt mũi mạn tính, hen suyễn, polyp mũi, lệch vách ngăn hoặc sưng vòm họng.

Khi phát hiện viêm amidan, bệnh nhân cần được điều trị sớm trước khi thói quen thở bằng miệng kéo dài.
Tuy nhiên, điểm then chốt dễ bị bỏ sót nằm ở nhóm nguyên nhân chức năng. Sau khi các yếu tố tắc nghẽn được xử lý (ví dụ: nạo VA, cắt amidan,...), nhiều trẻ vẫn tiếp tục thở bằng miệng do:
- Tư thế lưỡi duy trì ở vị trí thấp
- Môi không khép kín khi nghỉ
- Trương lực cơ môi – má – lưỡi mất cân bằng
Nếu không huấn luyện lại chức năng, thói quen thở bằng miệng sẽ tiếp tục tồn tại ngay cả khi đường thở đã thông thoáng.
1.3 Dấu hiệu nhận biết trẻ đang gặp phải thở bằng miệng:
Bên cạnh các dấu hiệu về khớp cắn, bác sĩ có thể quan sát các biểu hiện liên quan đến Hội chứng ngưng thở khi ngủ do tắc nghẽn (OSA):
Trẻ thường xuyên há miệng ở tư thế nghỉ, môi khô, viêm lợi vùng răng cửa.
Quầng thâm dưới mắt do ứ trệ tĩnh mạch vùng dưới ổ mắt.
Tiền sử ngủ ngáy, nghiến răng, hoặc trẻ dễ cáu gắt, thiếu tập trung do thiếu oxy não mạn tính.

Hình ảnh: Sự biến đổi khuôn mặt là dấu hiệu dễ nhận biết trẻ đang duy trì thói quen thở bằng miệng.
2. Thở bằng miệng ảnh hưởng thế nào đến sự phát triển của trẻ?
2.1 Biến đổi hình thái sọ mặt và răng miệng
Các nghiên cứu lâm sàng cho thấy thở bằng miệng ở trẻ em có mối liên hệ chặt chẽ với thay đổi hình thái sọ mặt. Trong điều kiện sinh lý, lưỡi áp sát vòm khẩu cái đóng vai trò như một "khuôn sinh học nội tại", tạo lực kích thích cần thiết cho sự phát triển của xương hàm trên theo chiều ngang.
Khi trẻ thở bằng miệng, tư thế lưỡi thấp và sự mất cân bằng giữa áp lực cơ má - môi dẫn đến:
Kém phát triển xương hàm trên: Gây hẹp cung hàm, vòm khẩu cái cao.
Biến đổi kiểu mặt: Khuôn mặt dài, hẹp, cằm xoay sau và lẹm.
Sai hình khớp cắn: Xuất hiện tình trạng cắn hở, răng chen chúc trầm trọng và cắn chéo phía sau.

Hình ảnh: Lệch khớp cắn, răng không đồng đều trong trường hợp bệnh nhân thở bằng miệng.
2.2 Thách thức đối với sự ổn định trong điều trị chỉnh nha
Đối với các bệnh nhân chỉnh nha, việc đeo mắc cài hay khay trong suốt là chưa đủ nếu chức năng cơ miệng vẫn sai lệch. Thở bằng miệng thường đi kèm tư thế lưỡi thấp, trương lực môi má mất cân bằng, tạo ra các lực bất lợi lên cung răng đã được chỉnh.
Nhiều nghiên cứu cho thấy rối loạn chức năng cơ miệng ở trẻ em có thể:
Làm giảm độ ổn định của kết quả chỉnh nha
Tăng nguy cơ tái phát sau điều trị
Kéo dài thời gian điều trị hoặc làm phức tạp kế hoạch chỉnh nha
2.3 Suy giảm chất lượng sống và hệ thần kinh
Thở bằng miệng làm mất đi cơ chế lọc và điều tiết khí của mũi, dẫn đến hiệu quả thông khí kém và rối loạn giấc ngủ. Trẻ dễ rơi vào tình trạng ngủ ngáy, ngủ nông, thiếu oxy não nhẹ nhưng kéo dài. Điều này trực tiếp ảnh hưởng đến khả năng tập trung, hành vi và kết quả học tập, thường bị nhầm lẫn với các triệu chứng của ADHD trong chẩn đoán lâm sàng.
3. Giá trị lâm sàng của việc can thiệp sớm rối loạn thở bằng miệng
3.1 Tái lập chức năng thở bằng mũi
Mũi không đơn thuần là đường dẫn khí mà là một hệ thống điều hòa sinh học giúp lọc bụi, làm ấm và bão hòa độ ẩm không khí. Khi trẻ thở bằng miệng, toàn bộ cơ chế này bị bỏ qua. Không khí lạnh, khô và chưa được lọc đi thẳng vào đường hô hấp dưới, làm giảm hiệu quả hô hấp và tăng nguy cơ viêm nhiễm đường hô hấp trên. Can thiệp sớm giúp trẻ thiết lập lại kiểu thở bằng mũi, cũng chính là nền tảng để hệ thống răng - hàm - mặt phát triển hài hòa.

Hình ảnh: Nhờ hệ thống lọc - làm ấm - làm ẩm hiệu quả, thở bằng mũi là cơ chế hô hấp lý tưởng.
3.2 Tối ưu hóa kết quả và rút ngắn lộ trình chỉnh nha
Việc nhận diện và can thiệp sớm thở bằng miệng được xem là một liệu pháp hỗ trợ thiết yếu giúp:
Loại bỏ các cản trở chức năng, tạo điều kiện thuận lợi cho việc sắp xếp răng tự nhiên.
Nâng cao độ bền vững của kết quả điều trị, giảm thiểu nhu cầu can thiệp lại.
Rút ngắn thời gian điều trị và tăng mức độ hài lòng của bệnh nhân nhờ quá trình điều trị diễn ra đúng lộ trình.
3.3 Ngăn ngừa các bệnh lý hệ thống khác
Nếu thở bằng miệng được nhận diện và can thiệp sớm, trẻ sẽ tránh được nhiều vấn đề sức khỏe mạn tính phát sinh từ kiểu chức năng sai lệch này như:
Các bệnh lý nha chu, sâu răng, hôi miệng do khô miệng kéo dài
Bệnh tai–mũi–họng tái phát
Giảm oxy máu mạn tính, ảnh hưởng đến hệ tim mạch
Suy giảm chức năng phổi, đặc biệt ở bệnh nhân có nền hen suyễn
Vậy, công cụ nào có thể hỗ trợ bác sĩ trong việc nhận diện sớm cơ chế thở bằng miệng ở trẻ em, đồng thời cung cấp giải pháp can thiệp đúng hướng ngay từ giai đoạn tăng trưởng?
4. MyoSimple – giải pháp hỗ trợ thở mũi và chức năng miệng cho trẻ em

4.1 Đặc điểm thiết kế ưu việt
MyoSimple tác động nhẹ nhàng lên hệ cơ môi và lưỡi, giúp tạo sự ổn định trong khoang miệng và từ đó thúc đẩy quá trình thở bằng mũi. Thiết kế khí cụ cho phép bảo vệ niêm mạc miệng, đồng thời hạn chế kích ứng nướu, má và môi nhờ việc giảm chính xác chiều cao của vạt tiền đình.
Một điểm quan trọng khác là MyoSimple cho phép định vị xương hàm dưới trong khi vẫn duy trì áp lực cơ sinh lý tự nhiên lên cung hàm dưới. Điều này giúp tránh tạo ra các lực bất lợi, đồng thời hỗ trợ sự phát triển hài hòa của hệ thống xương – cơ.
Đặc biệt, thiết kế dốc lưỡi chuyên biệt của MyoSimple thúc đẩy lưỡi đưa về vị trí đúng, góp phần mở rộng và ổn định đường thở trên. Về mặt khoa học, khi tư thế lưỡi và môi được cải thiện, đường thở trên có xu hướng ổn định hơn, từ đó hỗ trợ sự thay đổi bền vững của kiểu thở từ miệng sang mũi.

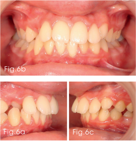
Hình ảnh trong miệng từ mặt trước (a), phải (b), và trái (c) của một bệnh nhân 12 tuổi và 6 tháng tuổi cho thấy tình trạng sai khớp cắn loại II phân loại 1 với răng cắn chéo 13.

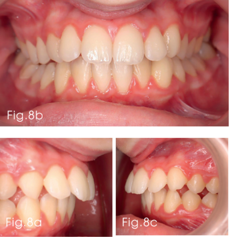
Hình ảnh trong miệng từ mặt trước (a), phải (b), và trái (c) chụp ở thời điểm +3 tháng sau khi đeo MyoSimple. Khớp cắn chéo của răng 13 và vị trí xương hàm dưới đã được điều chỉnh.
4.2 Chỉ định lâm sàng của MyoSimple
4.2.1.Trẻ thở bằng miệng kéo dài, cần công cụ hỗ trợ can thiệp sớm
MyoSimple có thể được sử dụng như một giải pháp ngăn chặn thở bằng miệng bằng cách loại bỏ các cản trở khớp cắn và hỗ trợ định vị lại vòm lưỡi trên vòm miệng. Khi lưỡi, môi và cơ má được đặt lại đúng vị trí sinh lý, các nhóm cơ này có thể phát huy đầy đủ vai trò trong việc định hình cung răng – ổ răng. Trong những trường hợp có đủ không gian cho răng di chuyển, tình trạng cắn chéo có thể được cải thiện trong vòng khoảng hai đến ba tháng.
4.2.2.Trẻ đang trong giai đoạn chuẩn bị điều trị chỉnh nha
Ở nhóm bệnh nhân này, MyoSimple giúp giảm mức độ nghiêm trọng của sai khớp cắn ngay từ đầu, từ đó cho phép bác sĩ xây dựng một kế hoạch điều trị ít phức tạp hơn và rút ngắn thời gian chỉnh nha. Việc cải thiện chức năng sớm không chỉ nâng cao sự hợp tác và hài lòng của bệnh nhân mà còn giúp giảm đáng kể thời gian ngồi ghế, tối ưu hiệu quả làm việc cho bác sĩ.
4.2.3.Trẻ đã hoàn thành giai đoạn đầu của điều trị chỉnh hình
Sau khi điều chỉnh các bất thường như kém phát triển xương hàm trên, sai khớp cắn hạng II hoặc hạng III, cắn sâu hoặc cắn hở, MyoSimple đóng vai trò hỗ trợ cải thiện và ổn định khớp cắn mới đạt được. Khí cụ giúp duy trì sự cân bằng chức năng cơ miệng một cách đơn giản và hiệu quả, góp phần hạn chế nguy cơ tái phát trong giai đoạn tăng trưởng tiếp theo.
4.3 Sự tương thích với FroggyMouth
FroggyMouth là dụng cụ chức năng dùng để thúc đẩy quá trình tự động hóa cân bằng chức năng thông qua cơ chế ức chế rối loạn chức năng, với thời gian đeo ngắn khoảng 15 phút mỗi ngày và hoạt động chủ yếu ở trạng thái vô thức. Trong khi đó, MyoSimple tập trung thúc đẩy thở bằng mũi, kích thích quá trình nuốt với cung răng khép kín và tư thế lưỡi đưa cao về phía sau. Sự kết hợp giữa hai khí cụ giúp hỗ trợ lẫn nhau, góp phần đạt được sự tự động hóa cân bằng chức năng cơ miệng ở trẻ.

Hỉnh ảnh: Một bệnh nhân 9 tuổi thích nghi dễ dàng với việc đeo hai khí cụ chức năng.
5. Kết luận – Can thiệp sớm để bảo vệ sự phát triển toàn diện của trẻ
Thở bằng miệng ở trẻ em không chỉ là một thói quen xấu mà là rối loạn chức năng có thể ảnh hưởng lâu dài đến phát triển khuôn mặt, khớp cắn, giấc ngủ cũng như khả năng học tập và hành vi. Việc can thiệp sớm thông qua theo dõi y khoa, điều trị chỉnh nha phù hợp và hỗ trợ chức năng với MyoSimple giúp thiết lập lại cơ chế sinh lý đúng, từ đó tạo nền tảng cho sự phát triển hài hòa và ổn định của trẻ trong tương lai.
>> Xem thêm về khí cụ MyoSimple tại đây
>> Hotline tư vấn: 0917 960 917
Viết bình luận